Estrogen worsens allergic reactions
Are you a woman? Do you find yourself allergic to everything, but water (and sometimes that is up for debate)? Worse, does your husband, boyfriend, or male friend seem to be impervious to any sort of allergy? Well I have good news and bad news, the good news is it isn’t you — or him. The bad news, is it’s your hormones…
Estradiol, a type of estrogen, enhances the levels and activity in mice of an enzyme that drives life-threatening allergic reactions, according to researchers. The study results may help explain why women frequently experience more severe allergic reactions compared to men. Furthermore, the results reaffirm the importance of accounting for gender in the design of animal experiments.
Anaphylaxis, for those not familiar, is an allergic reaction triggered by food, medication or insect stings and bites. Immune cells, particularly mast cells, release enzymes that cause tissues to swell and blood vessels to widen. As a result, skin may flush or develop a rash, and in extreme cases, breathing difficulties, shock or heart attack may occur. Clinical studies have shown that women tend to experience anaphylaxis more frequently than men, but why this difference exists is unclear.
In the current study, researchers found that female mice experience more severe and longer lasting anaphylactic reactions than males. Instead of targeting immune cells, estrogen influences blood vessels, enhancing the levels and activity of endothelial nitric oxide synthase (eNOS), an enzyme that causes some of the symptoms of anaphylaxis. When the researchers blocked eNOS activity, the gender disparity disappeared. In addition, giving estrogen-blocking treatments to female mice reduced the severity of their allergic responses to a level similar to those seen in males.

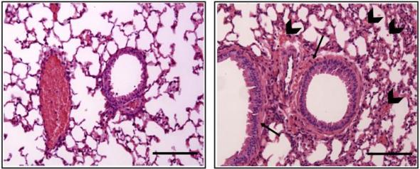
- The airways of male (right) and female (left) mice respond differently to anaphylactic triggers. The female response is more severe, showing more accumulation of fluids and cells around the respiratory tract (arrows). Photo credit goes to: NIAID
While the study has identified a clear role for estrogen and eNOS in driving severe anaphylactic reactions in female mice, more work is needed to see if the effects are similar in people and may be applied toward future preventive therapies. On the bright side if you do, in fact suffer from serious allergies and happen to be female, there is hope on the horizon for a better treatment.
Sources:
Hox, V., Desai, A., Bandara, G., Gilfillan, A., Metcalfe, D., & Olivera, A. (2014). Estrogen increases the severity of anaphylaxis in female mice through enhanced endothelial nitric oxide synthase expression and nitric oxide production Journal of Allergy and Clinical Immunology DOI: 10.1016/j.jaci.2014.11.003


But enough about us, what about you?